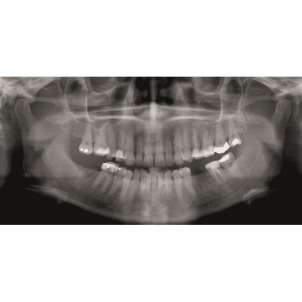
Ортопантомограф стоматологический предназначен для получения панорамных рентгеновских снимков зубочелюстной системы. Он позволяет врачу получить единое, высокоинформативное изображение обеих челюстей, всех зубов, височно-нижнечелюстных суставов и прилегающих анатомических структур за одно сканирование. Такая особенность конструкции, при которой рентгеновская трубка и датчик вращаются вокруг головы пациента, обеспечивает проекцию изогнутого слоя, что значительно уменьшает наложение структур и позволяет выявить скрытые патологии. Применение ортопантомографа необходимо для первичной диагностики, планирования различных видов стоматологического лечения и контроля его результатов. Информация, полученная с помощью ортопантомографа, служит основой для принятия многих клинических решений.
Виды техники
В каталоге компании «Техно-Дент» есть большой выбор моделей ортопантомографов, различающихся по техническим характеристикам и функциональности:
- аппараты с возможностью дооснащения функцией томографии или цефалостатом, например KaVo GENDEX GXDP-700 и Pointnix 500 HD;
- устройства с базовой панорамной функцией, как GENORAY Papaya, J.Morita Veraviewepocs IC-5, Sirona Orthophos XG 3 DS;
- универсальные системы с цифровой панорамной съёмкой и высокой детализацией, такие как Planmeca ProOne, KaVo GENDEX GXDP-300, FONA XPan DG PLUS;
- современные аппараты с функцией 3D и цефалостатом, например MyRay Hyperion X9 3D-READY, NewTom Giano 3D-READY CEPH PRO, Sirona Orthophos XG 5 DS Ceph;
- компактные модели, удобные для установки в клиниках с ограниченным пространством, такие как MyRay Hyperion X5 2D и GENORAY Papaya Plus.
Область применения
Купить ортопантомограф стоматологический потребуется для:
- общей диагностики и первичного осмотра – выявление кариеса, воспалительных процессов, аномалий развития зубов и челюстей, а также для скрининга на наличие скрытых патологий;
- планирования имплантации и хирургических вмешательств – для оценки общего состояния костной ткани, выявления расположения анатомически важных структур, таких как нижнечелюстной нерв и гайморовы пазухи;
- диагностики заболеваний пародонта – для оценки степени потери костной ткани вокруг зубов, выявления пародонтальных карманов и планирования лечения пародонтита;
- контроля результатов лечения – анализ заживления ран после хирургических вмешательств, оценка качества пломбирования каналов и контроля стабильности установленных имплантатов.
Узнать актуальные цены стоматологического ортопантомографа и оформить заявку на покупку можно по телефону +7(922)202-30-60 или через e-mail medipart-ural@mail.ru.

