Воспользуйтесь усовершенствованной моделью цифровых интраоральных визиографов - датчиком GXS-700.
Радиовизиограф от Gendex сделает каждое интраоральное рентгенологическое исследование эффективным инструментом в ваших руках.
Преимущества:
Высококачественные снимки
Прогрессивная технология CMOS-датчиков (на структуре комплементарных металлооксидных полупроводников) с более высоким качеством изображения расширяет технические и диагностические возможности.
Датчик с высокими рабочими характеристиками регистрирует изображения с видимым разрешением более 20 пар линий на миллиметр.
Независимо от различных настроек для съемки, интраоральный визиограф гарантирует стабильное качество изображений и воспроизводимость результатов.
Эргономичный дизайн, два размера
Интраоральный визиограф GXS-700 предлагается двух размеров — 1 и 2 — и может, таким образом, использоваться как для взрослых, так и для детей.
Закругленные углы и края используемого внутри ротовой полости датчика обеспечивают максимальный комфорт для пациента.
Прочные материалы, из которых изготовлены компоненты интраорального визиографа GXS-700, обеспечивают его длительный срок службы.
Прямое подключение через USB-порт
Визиограф GXS-700 исключительно легко транспортировать; для прямого подключения к компьютеру у него имеется высокоскоростной порт USB 2.0.
USB-контроллер, адаптер или установочная станция не требуются.
Электропитание через USB-порт.
Высокая четкость изображений в стоматологии
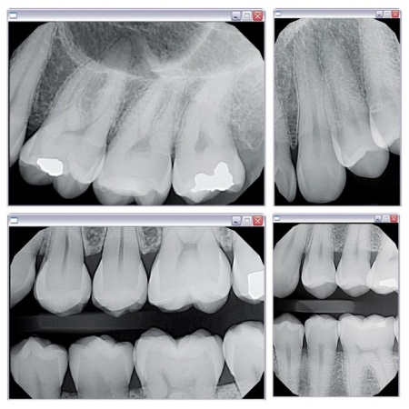
Продукты|Рентгеновское-оборудование|Gendex-GXS-700|Высокое-разрешение gxs700_highdef01 - KaVo DentalИнтраоральный визиограф GXS-700, оснащенный прогрессивной сенсорной технологией, создает изображения в режиме реального времени, характеризующиеся исключительной четкостью и оптимальной передачей деталей. Интраоральная сенсорная система обеспечивает, таким образом, существенную помощь в диагностике и лечении.
Эффективность рабочих процессов
Продукты|Рентгеновское-оборудование|Gendex-GXS-700|Эффективные-рабочие-процессы gxs700_workflow - KaVo DentalПри разработке своих изделий компания Gendex никогда не забывала об эффективности рабочих процессов в клинике. Так и интраоральный визиограф GXS-700 рассчитан на простую интеграцию в систему управления вашей клиникой. В системе имеется дополнительный выход на контактные данные пациентов и планирование визитов к врачу.
Интраоральный визиограф GXS-700 можно легко перенести с одной стоматологической установки на другую, обеспечивая быстрое и компетентное обслуживание пациентов.
Уникальная функция Always Ready автоматически распознает наличие излучения и начинает запись изображений, так что активация системы перед съемкой не требуется.
Высокоскоростной порт USB 2.0 позволяет быстро и без проблем менять датчики, что заметно повышает эффективность процесса съемки. Цифровые снимки отображаются без задержки во времени, предоставляя стоматологу немедленную диагностическую информацию. Это позволяет в экстренных случаях избежать потерь ценного времени, как это бывает, например, при обработке пленки. Таким образом, обеспечивается быстрая и беспрерывная медицинская помощь пациенту.
Интраоральный визиограф GXS-700 в детской стоматологии
Интраоральный визиограф GXS-700 шириной с обычную пленку нулевого размера благодаря исключительно эргономичному дизайну с закругленными углами и сглаженными краями позволяет делать детские рентгеновские снимки, не вызывая у детей никаких неприятных ощущений.
В стоматологических клиниках все активнее применяются экологически безопасные и малоинвазивные методы. Учитывая такой ход развития, создатели интраорального визиографа GXS-700 постарались использовать в нем многочисленные экологичные свойства. Интраоральный визиограф GXS-700 значительно снижает радиационную нагрузку на пациента по сравнению с обычной съемкой. Кроме того, при использовании цифрового визиографа больше не приходится иметь дело с химикатами для проявления пленки.
Технические характеристики:
Датчик размера 2
Датчик размера 1
Наружные размеры (мм)
31 x 42
25 x 37
Размер пикселя
19,5 мкм
19,5 мкм
Сенсорная техника
Усовершенствованная версия CMOS
Усовершенствованная версия CMOS
Технология сцинтиллятора
Csl-сцинтиллятор
Csl-сцинтиллятор
Формат изображения
1346 x 1850 пикселей
1026 x 1539 пикселей
Число пикселей
2,5 мегапикселя
1.6 мегапикселя
Разрешение изображения
Теоретическое: 25,6 пл/мм
Видимое: 20+ пл/мм
Теоретическое: 25,6 пл/мм
Видимое: 20+ пл/мм
USB-разъем
Высокоскоростной порт USB 2.0
Высокоскоростной порт USB 2.0
Длина кабеля
2,7 м
2,7 м
Гарантия
2 года
2 года
Минимальные требования к компьютеру
Процессор
мин. Pentium 4 с 2 ГГц; рекомендуется Pentium 4 с 3,2 ГГц
Оперативная память
свободная память мин. 1 ГБ
Жесткий диск
свободная память мин. 6 ГБ
Дисплей
мин. 1024 x 768 x 24 бит; рекомендуется 1024 x 768 x 32 бит
Графическая плата
Видео, оперативная память мин. 4 МБ; рекомендуется 8 МБ
Операционная система
Windows XP Professional, Windows Vista Business/Ultimate/Enterprise (32 бит), Windows 7 Professional/Ultimate/Enterprise (32/64 бит)
USB
мин. 1 свободный порт USB 2.0
Радиовизиограф от Gendex сделает каждое интраоральное рентгенологическое исследование эффективным инструментом в ваших руках.
Преимущества:
Высококачественные снимки
Прогрессивная технология CMOS-датчиков (на структуре комплементарных металлооксидных полупроводников) с более высоким качеством изображения расширяет технические и диагностические возможности.
Датчик с высокими рабочими характеристиками регистрирует изображения с видимым разрешением более 20 пар линий на миллиметр.
Независимо от различных настроек для съемки, интраоральный визиограф гарантирует стабильное качество изображений и воспроизводимость результатов.
Эргономичный дизайн, два размера
Интраоральный визиограф GXS-700 предлагается двух размеров — 1 и 2 — и может, таким образом, использоваться как для взрослых, так и для детей.
Закругленные углы и края используемого внутри ротовой полости датчика обеспечивают максимальный комфорт для пациента.
Прочные материалы, из которых изготовлены компоненты интраорального визиографа GXS-700, обеспечивают его длительный срок службы.
Прямое подключение через USB-порт
Визиограф GXS-700 исключительно легко транспортировать; для прямого подключения к компьютеру у него имеется высокоскоростной порт USB 2.0.
USB-контроллер, адаптер или установочная станция не требуются.
Электропитание через USB-порт.
Высокая четкость изображений в стоматологии
Продукты|Рентгеновское-оборудование|Gendex-GXS-700|Высокое-разрешение gxs700_highdef01 - KaVo DentalИнтраоральный визиограф GXS-700, оснащенный прогрессивной сенсорной технологией, создает изображения в режиме реального времени, характеризующиеся исключительной четкостью и оптимальной передачей деталей. Интраоральная сенсорная система обеспечивает, таким образом, существенную помощь в диагностике и лечении.
Эффективность рабочих процессов
Продукты|Рентгеновское-оборудование|Gendex-GXS-700|Эффективные-рабочие-процессы gxs700_workflow - KaVo DentalПри разработке своих изделий компания Gendex никогда не забывала об эффективности рабочих процессов в клинике. Так и интраоральный визиограф GXS-700 рассчитан на простую интеграцию в систему управления вашей клиникой. В системе имеется дополнительный выход на контактные данные пациентов и планирование визитов к врачу.
Интраоральный визиограф GXS-700 можно легко перенести с одной стоматологической установки на другую, обеспечивая быстрое и компетентное обслуживание пациентов.
Уникальная функция Always Ready автоматически распознает наличие излучения и начинает запись изображений, так что активация системы перед съемкой не требуется.
Высокоскоростной порт USB 2.0 позволяет быстро и без проблем менять датчики, что заметно повышает эффективность процесса съемки. Цифровые снимки отображаются без задержки во времени, предоставляя стоматологу немедленную диагностическую информацию. Это позволяет в экстренных случаях избежать потерь ценного времени, как это бывает, например, при обработке пленки. Таким образом, обеспечивается быстрая и беспрерывная медицинская помощь пациенту.
Интраоральный визиограф GXS-700 в детской стоматологии
Интраоральный визиограф GXS-700 шириной с обычную пленку нулевого размера благодаря исключительно эргономичному дизайну с закругленными углами и сглаженными краями позволяет делать детские рентгеновские снимки, не вызывая у детей никаких неприятных ощущений.
В стоматологических клиниках все активнее применяются экологически безопасные и малоинвазивные методы. Учитывая такой ход развития, создатели интраорального визиографа GXS-700 постарались использовать в нем многочисленные экологичные свойства. Интраоральный визиограф GXS-700 значительно снижает радиационную нагрузку на пациента по сравнению с обычной съемкой. Кроме того, при использовании цифрового визиографа больше не приходится иметь дело с химикатами для проявления пленки.
Технические характеристики:
Датчик размера 2
Датчик размера 1
Наружные размеры (мм)
31 x 42
25 x 37
Размер пикселя
19,5 мкм
19,5 мкм
Сенсорная техника
Усовершенствованная версия CMOS
Усовершенствованная версия CMOS
Технология сцинтиллятора
Csl-сцинтиллятор
Csl-сцинтиллятор
Формат изображения
1346 x 1850 пикселей
1026 x 1539 пикселей
Число пикселей
2,5 мегапикселя
1.6 мегапикселя
Разрешение изображения
Теоретическое: 25,6 пл/мм
Видимое: 20+ пл/мм
Теоретическое: 25,6 пл/мм
Видимое: 20+ пл/мм
USB-разъем
Высокоскоростной порт USB 2.0
Высокоскоростной порт USB 2.0
Длина кабеля
2,7 м
2,7 м
Гарантия
2 года
2 года
Минимальные требования к компьютеру
Процессор
мин. Pentium 4 с 2 ГГц; рекомендуется Pentium 4 с 3,2 ГГц
Оперативная память
свободная память мин. 1 ГБ
Жесткий диск
свободная память мин. 6 ГБ
Дисплей
мин. 1024 x 768 x 24 бит; рекомендуется 1024 x 768 x 32 бит
Графическая плата
Видео, оперативная память мин. 4 МБ; рекомендуется 8 МБ
Операционная система
Windows XP Professional, Windows Vista Business/Ultimate/Enterprise (32 бит), Windows 7 Professional/Ultimate/Enterprise (32/64 бит)
USB
мин. 1 свободный порт USB 2.0
Длина кабеля датчика, м
2,7;
Размеры датчика, мм
25×37;
Размер пикселя, мкм
19,5;
Разрешение, пар линий/мм
25,6;
Позиционеры в комплекте
Да;
Съемный кабель датчика
Нет;
Размер изображения, пикс.
1026×1539;
Разрешение изображения, Мп
1,6;
Страна производства
Германия
Гарантия
24
Отзывы
Оставить отзыв
Загрузка отзывов...
- по безналичному расчету
- наличными при получении заказа
- банковской картой у нас в офисе
Для наших клиентов предусмотрена индивидуальная система скидок и рассрочки. Подробности вам расскажет менеджер при оформлении заказа.
- бесплатная доставка по Екатеринбургу и Челябинску при заказе от 3 000 рублей
- бесплатная доставка по Свердловской и Челябинской области при заказе от 5 000 рублей
- возможность забрать заказ на любую сумму самовывозом «день-в-день»
- доставка транспортной компанией на ваш выбор (подробности уточняйте у менеджера)
