Радиовизиограф (визиограф) SuniRay - это беспленочная, цифровая дентальная система для преобразования рентгеновского сигнала в компьютерное изображение с возможностью его дальнейшей обработки. В качестве приемника используется удобный пластиковый датчик универсального размера №1 или №2, интегрированный с миниатюрным USB блоком. Радиовизиограф Dr.Suni Plus получает высококачественное изображения с низким уровнем помех, которые мгновенно считываются и передаются на ваш компьютер. Визиограф SuniRay совместим со всеми портативными и стационарными персональными компьютерами, а также со всеми рентгенами и не требует систем синхронизации сигнала, так как имеет сверхчувствительный датчик.
Цифровая диагностика, с использованием радиовизиографа SuniRay, является наиболее безопасной для пациентов из-за максимально сниженной рентгеновской нагрузки. Легкая в применении, эргономичная цифровая диагностика радиовизиографической системы SuniRay, исключает технические (фотолаборатория) и временные неудобства, связанные с обработкой рентгеновской пленки. Данные и рентгеновские снимки пациента быстро и просто заносятся в компьютерную базу данных и легко обрабатываются программой, входящей в комплект радиовизиографической системы.
Радиовизиограф SuniRay вобрал в себя все самые последние достижения в области рентгенодиагностики последних лет и идеально подходит для использования его стоматологическими клиниками, сочетая простоту в эксплуатации с максимальной эффективностью работы врача-стоматолога. Важно, что датчики SuniRay, могут работать с программами многих популярных визиографов и не требуют затратного процесса переноса данных со старой программы на новую.
Преимущества:
Прочность и надежность
Визиограф SuniRay обладает самым прочным сенсором, представляющим из себя сбалансированную и очень эргономичную конструкцию удобную для пациента.
В сенсоре визиографа SuniRay используется усиленное крепление кабеля и ультразвуковая сварка корпуса, что делает датчики невероятно надежными
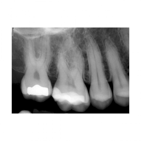
Качество изображения
Конструкция микрочипа SuniRay запатентована и в сочетании со специально разработанным сцинсцилятором и 1,2 мм оптоволоконной пластиной дает стабильно высококачественное изображение
Датчик разработан с учетом соблюдения идеального баланса между низкой дозой облучения, отношения сигнал-шум, разрешением в парах линий на мм. Все это гарантирует отличное качество изображения при максимальной скорости работы
Универсальное программное обеспечение SuniRay снабжено всем необходимым, чтобы гарантировать максимальное качество и удобство работы с массивом рентгеновских изображений
Низкая радиация
Датчики SuniRay обладают самой высокой чувствительностью на рынке цифровых сенсоров и настроены так, чтобы без ущерба для качества снимка, сделать его при минимальной степени излучения.
Комфорт пациента
Сбалансированный дизайн датчика обеспечивает комфорт пациенту и защиту датчика от повреждений
Размер датчика делает его позиционирование в полости рта пациента удобным и позволяет добиться максимального качества снимка
Технические характеристики:
Датчик-матрица CMOS, с усиленным соединением провода и датчика;
Размеры датчиков:
Датчик «1» - размеры 39,5x26,0 мм
Датчик «2» - размеры 43,5x31,5 мм
Новейшая противоударная технология датчика
Компактный и портативный USB блок
Инновационный активный инжекционный фильтр против помех
Кристально чистое изображение
Ускоренная система вывода снимка на экран
Технология безопасного соединения кабеля с блоком
Дизайн датчиков с закруглёнными концами для повышения комфорта пациента
Цифровая диагностика, с использованием радиовизиографа SuniRay, является наиболее безопасной для пациентов из-за максимально сниженной рентгеновской нагрузки. Легкая в применении, эргономичная цифровая диагностика радиовизиографической системы SuniRay, исключает технические (фотолаборатория) и временные неудобства, связанные с обработкой рентгеновской пленки. Данные и рентгеновские снимки пациента быстро и просто заносятся в компьютерную базу данных и легко обрабатываются программой, входящей в комплект радиовизиографической системы.
Радиовизиограф SuniRay вобрал в себя все самые последние достижения в области рентгенодиагностики последних лет и идеально подходит для использования его стоматологическими клиниками, сочетая простоту в эксплуатации с максимальной эффективностью работы врача-стоматолога. Важно, что датчики SuniRay, могут работать с программами многих популярных визиографов и не требуют затратного процесса переноса данных со старой программы на новую.
Преимущества:
Прочность и надежность
Визиограф SuniRay обладает самым прочным сенсором, представляющим из себя сбалансированную и очень эргономичную конструкцию удобную для пациента.
В сенсоре визиографа SuniRay используется усиленное крепление кабеля и ультразвуковая сварка корпуса, что делает датчики невероятно надежными
Качество изображения
Конструкция микрочипа SuniRay запатентована и в сочетании со специально разработанным сцинсцилятором и 1,2 мм оптоволоконной пластиной дает стабильно высококачественное изображение
Датчик разработан с учетом соблюдения идеального баланса между низкой дозой облучения, отношения сигнал-шум, разрешением в парах линий на мм. Все это гарантирует отличное качество изображения при максимальной скорости работы
Универсальное программное обеспечение SuniRay снабжено всем необходимым, чтобы гарантировать максимальное качество и удобство работы с массивом рентгеновских изображений
Низкая радиация
Датчики SuniRay обладают самой высокой чувствительностью на рынке цифровых сенсоров и настроены так, чтобы без ущерба для качества снимка, сделать его при минимальной степени излучения.
Комфорт пациента
Сбалансированный дизайн датчика обеспечивает комфорт пациенту и защиту датчика от повреждений
Размер датчика делает его позиционирование в полости рта пациента удобным и позволяет добиться максимального качества снимка
Технические характеристики:
Датчик-матрица CMOS, с усиленным соединением провода и датчика;
Размеры датчиков:
Датчик «1» - размеры 39,5x26,0 мм
Датчик «2» - размеры 43,5x31,5 мм
Новейшая противоударная технология датчика
Компактный и портативный USB блок
Инновационный активный инжекционный фильтр против помех
Кристально чистое изображение
Ускоренная система вывода снимка на экран
Технология безопасного соединения кабеля с блоком
Дизайн датчиков с закруглёнными концами для повышения комфорта пациента
Отзывы
Оставить отзыв
Загрузка отзывов...
- по безналичному расчету
- наличными при получении заказа
- банковской картой у нас в офисе
Для наших клиентов предусмотрена индивидуальная система скидок и рассрочки. Подробности вам расскажет менеджер при оформлении заказа.
- бесплатная доставка по Екатеринбургу и Челябинску при заказе от 3 000 рублей
- бесплатная доставка по Свердловской и Челябинской области при заказе от 5 000 рублей
- возможность забрать заказ на любую сумму самовывозом «день-в-день»
- доставка транспортной компанией на ваш выбор (подробности уточняйте у менеджера)
